زراعة الأسنان في السعودية بخبرة تمتد منذ عام 2003

في نخبة ألماس الطبية، نُقدم زراعة الأسنان وفق أعلى معايير الدقة والسلامة، باستخدام أنظمة عالمية متطورة مثل
3i الأمريكية وStraumann الألمانية، وبخبرة من
الاستشاري الدكتور فهد بن حمود القحطاني — خريج جامعة نيويورك (NYU)، وصاحب أكثر من
20 عامًا من الخبرة العملية في المستشفيات الحكومية والقطاع الخاص داخل المملكة.

هدفنا هو تعويض الأسنان المفقودة بحلول ثابتة وطبيعية الشكل والوظيفة، تمنح المراجع ثقة وابتسامة تدوم على المدى الطويل.

 

لماذا تختار نخبة ألماس لزراعة الأسنان؟

  • خبرة استشارية في زراعة الأسنان منذ عام 2003.
  • استخدام أنظمة زراعة عالمية معتمدة أمريكية وألمانية.
  • تخطيط رقمي دقيق ثلاثي الأبعاد قبل الزراعة.
  • بروتوكولات تعقيم وسلامة عالية في جميع المراحل.
  • نتائج تجميلية ووظيفية طبيعية قدر الإمكان.
  • متابعة مستمرة واهتمام بعد التركيب لضمان الاستقرار.

نركز دائمًا على اختيار الحل العلاجي الأنسب لكل حالة.

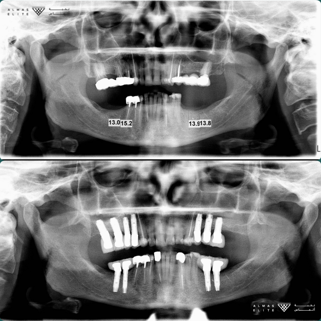
ما هي زراعة الأسنان؟

زراعة الأسنان هي عملية طبية يتم خلالها غرس دعامات من التيتانيوم داخل عظم الفك لتعويض الأسنان المفقودة.
تُعد الزراعة الخيار الأفضل لاستعادة القدرة على المضغ والابتسامة دون التأثير على الأسنان المجاورة،
مع الحفاظ على عظم الفك ومنع تآكله مع الوقت.

تمنح الزراعة إحساسًا قريبًا جدًا من السن الطبيعي من حيث الشكل والوظيفة عند العناية الصحيحة والمتابعة المنتظمة.

من هم المرشحون لزراعة الأسنان؟

  • من لديهم فقد في سن واحد أو أكثر.
  • من لا يفضّلون الأطقم المتحركة ويرغبون بحل ثابت.
  • من لديهم كثافة عظم مناسبة أو يمكن تجهيزها حسب تقييم الطبيب.
  • من يتمتعون بصحة عامة مستقرة ولا توجد لديهم موانع طبية كبيرة.
  • من لديهم استعداد للالتزام بالمواعيد والعناية بنظافة الفم.

القرار النهائي لملاءمة الزراعة يتم بعد استشارة الطبيب، والفحص السريري، والتصوير الإشعاعي (مثل الأشعة ثلاثية الأبعاد) حسب الحاجة.

المراحل والجدول الزمني لعلاج زراعة الأسنان

١) المرحلة التحضيرية

  • الفحص الكامل: يشمل الأشعة ثلاثية الأبعاد وتحليل جودة وكثافة العظم.
  • علاج المشاكل الفموية مثل التسوس أو التهابات اللثة قبل الزراعة.
  • تقييم الحالة الصحية العامة، خاصة لمرضى السكري أو الأمراض المزمنة.

٢) خلع السن (إن وجد)

يُفضّل خلع السن التالف أولاً، وقد تُجرى الزراعة مباشرة في نفس الجلسة
(الزراعة الفورية) إذا كانت الحالة مناسبة، من حيث كثافة العظم وعدم وجود عدوى نشطة.

٣) المرحلة الجراحية (Stage 1)

  • الزراعة التقليدية: بعد شفاء موضع الخلع بـ 6–8 أسابيع في كثير من الحالات.
  • الزراعة الفورية: تتم بعد الخلع مباشرة بشرط توفر المعايير اللازمة.

تليها فترة اندماج عظمي تستغرق من 3 إلى 6 أشهر حسب الحالة الصحية وجودة العظم.

٤) المرحلة التركيبية (Stage 2)

  • فتح اللثة وتركيب Healing Abutment فوق الزرعة.
  • أخذ المقاسات أو إجراء المسح الرقمي للأسنان.
  • تركيب التاج النهائي في العادة خلال أسبوعين تقريبًا من أخذ المقاسات.

المدة المتوقعة للعلاج: من 3 إلى 6 أشهر (قد تختلف من حالة لأخرى).
عدد الزيارات التقريبية: من 4 إلى 6 زيارات حسب الخطة العلاجية.

 

المتابعة والمحافظة على المدى البعيد

  • زيارات دورية كل 6 أشهر أو حسب توجيه الطبيب.
  • تنظيف احترافي وفحوصات إشعاعية عند الحاجة.
  • الحفاظ على العادات الصحية ونظافة الفم حول الزرعة.

نجاح الزراعة واستمرارها لفترة طويلة يعتمد بدرجة كبيرة على العناية اليومية والالتزام بالمراجعات.

ما يجب أن يعرفه المراجع قبل الزراعة

  • الزراعة تمر بعدة مراحل وتتطلب التزامًا كاملًا من المراجع حتى اكتمال العلاج.
  • لا يمكن استكمال العلاج بالشكل المطلوب إذا تم تأجيل أو إهمال المرحلة الثانية أو المراجعات.
  • نجاح الزراعة يعتمد على النظافة، والصحة العامة، وانضباط المراجع.

مدة العلاج التقريبية: من 3 إلى 6 أشهر، تختلف من حالة لأخرى.

التزامات المراجع

  • اتباع التعليمات الطبية بعد كل جلسة بدقة.
  • عدم التأخير في المواعيد، خاصة مواعيد المرحلة الثانية والتركيبات.
  • تناول الأدوية الموصوفة في أوقاتها.
  • الامتناع عن التدخين لما له من تأثير سلبي على الزرعات.

تنويه: في حال تأخر أو انقطاع المراجع عن العلاج لفترة طويلة، قد تُسقط بعض حقوق استكمال الخدمة أو استرداد المبلغ، وتبقى الرسوم مستحقة وفقًا للسياسة المعتمدة في المركز.

 

الأسئلة الشائعة حول زراعة الأسنان

هل الزراعة مؤلمة؟

يتم إجراء الزراعة تحت تخدير موضعي، وغالبية المراجعين يصفون التجربة بأنها شعور بانزعاج بسيط يمكن التحكم به بالأدوية الموصوفة.

هل يمكن الزراعة بعد الخلع مباشرة؟

نعم، يمكن ذلك في بعض الحالات، إذا كانت كثافة العظم جيدة ولا توجد عدوى نشطة، ويحدد الطبيب مدى ملاءمة الزراعة الفورية بعد الفحص.

 

ما نسبة نجاح الزراعة؟

تصل نسب النجاح إلى أكثر من 95٪ في كثير من الدراسات، بشرط الالتزام بالتعليمات والعناية بصحة الفم.

هل يمكن أن تفشل الزرعة؟

قد يحدث الفشل في حالات محدودة، مثل التدخين الشديد، أو ضعف العناية بنظافة الفم، أو وجود أمراض مؤثرة على التئام العظم.

هل أحتاج تعديلات مستقبلية؟

قد تحتاج التيجان أو التركيبات المرتبطة بالزرعة إلى تعديل أو استبدال بعد سنوات، ويتم تقييم ذلك خلال الزيارات الدورية.

الأسعار والتكاليف

السعر الإجمالي للزرعة الواحدة مع التاج النهائي:
٩٬٠٠٠ ريال سعودي
(غير شامل ضريبة القيمة المضافة لغير السعوديين)

يشمل السعر:

  • الإجراء الجراحي للزراعة.
  • التاج النهائي على الزرعة.
  • المتابعة خلال فترة العلاج المحددة.

ولا يشمل:

  • الأشعة (CBCT أو الأشعة العادية).
  • التحاليل الطبية إن طلبها الطبيب.
  • العلاجات التمهيدية مثل: خلع الأسنان، تطعيم العظم، التنظيف العميق، أو علاجات اللثة والتسوس.
  • الخدمات المقدمة من أقسام أخرى مثل: علاج الجذور، اللثة، أو التقويم.

تتوفر خطط تقسيط مرنة، كما تُقدم عروض خاصة لحاملي التأمين الصحي وفق الشروط والأحكام.

التأمين وخيارات الدفع

 

قد تغطي بعض وثائق التأمين جزءًا من إجراءات زراعة الأسنان أو التركيبات المرتبطة بها، وذلك يعتمد على شركة التأمين ونوع الوثيقة.
يمكن الحصول على العلاج بنظام الدفع النقدي وفق التسعيرة المعتمدة، مع توفر خيارات دفع متعددة عبر البطاقات البنكية وبعض برامج التقسيط.

لمزيد من التفاصيل، يُرجى زيارة صفحة التأمين الطبي أو التواصل مع فريق خدمة العملاء.

زراعة الأسنان

يسعدنا تواصلكم معنا في أي وقت، ويسرّنا مساعدتكم في حجز المواعيد، الاستفسار عن الخدمات، التأمين الطبي، أو أي أسئلة تتعلق بعلاج الأسنان.
فريقنا جاهز لخدمتكم بكل ود واحترافية.

الهاتف الموحد لخدمة العملاء والمواعيد:

نخبة ألماس – فرع النفل

العنوان: بجوار بنك الجزيرة (مخرج 5)، طريق الملك عبدالعزيز، حي النفل، الرياض
العنوان على خرائط جوجل
واتساب : 0530973333
واتساب منسقة د/فهد : 0553312077
أوقات العمل: من السبت إلى الخميس 2م حتى 10م

نخبة ألماس – فرع الحمراء

العنوان: بالقرب من ساكو (تقاطع طريق الملك عبدالله -مخرج 10)، طريق خالد بن الوليد، حي الحمراء، الرياض
العنوان على خرائط جوجل
واتساب : 0552487888
واتساب منسقة د/فهد : 0553312077
أوقات العمل: من السبت إلى الخميس 10ص حتى 9م


نخبة ألماس لطب الأسنان – زراعة دقيقة، آمنة، ومبنية على العلم وخبرة الفريق.